今天和大家分享一批育肥猪发生的一例怪病——“肝破裂”:
这批猪苗共3668头,全程成活率87.5%,经历多次饲养员替换(长期短期都算进去至少经手8人),我负责的阶段是28日龄进苗到72日龄的保育阶段。苗源是来自某蓝耳阳性稳定场,而且这批苗是对方公司补我方公司购买种猪的差价“白送”的。
进苗后按照常规的免疫和药物保健方案进行疾病预防。初期进行了大规模的公母分群、分单元和大小调栏。饲喂方案为前20天教槽料人工分餐饲喂,之后料线自动饲喂不同阶段全价颗粒料。猪舍采取混合通风,全自动通风方案未成熟,地板类型为半漏粪,过道栏杆PVC板,栏位之间为空心栅栏。

猪只从进苗第一周开始出现不明原因的急性死亡,平均每天死亡2~3头,高峰时每天6~8头(50日龄之后),这种情形一直持续到出栏。死亡多是零星散发,膘情尚可,没有明显的集中流行性,抗生素治疗有一定的效果。大群腹式呼吸较多,膘情不理想。


A栋死亡猪只栏位分布
剖检有明显的呼吸道细菌感染症状,但好几轮不同抗生素用下去,饮水、拌料、全群肌注,均于事无补,死亡照常每天发生,每天进猪舍之前都胆战心惊,默默祈祷。人生第一次养猪哪能经得住这阵仗,每天都不缺席的死淘单渐渐让我认命,那就尽人事,听猪命,当不了一名成绩优秀的饲养员,但那么多死猪不能让它们白死。
于是开始发挥自己的专业优势,网购10%中性福尔马林和固定瓶,还买了一台像素高点的拍照手机和一个微距镜头以及一个补光灯,开始了死亡猪只剖检大体病变的观察记录和取材固定。那段时光每天晚饭后和搭档在出猪台的孤灯下剖检死猪,现在想起仍意犹未尽。
大多数死猪急性死亡,病程较短,死前站立不稳或无法站立,不愿走动,驱赶时四肢震荡,最急性型倒地侧卧,四肢僵直,两前肢45度角向头侧伸展震荡。死后多见尸僵不全,身体柔软,皮肤发白,腹部稍鼓胀,拍打有波动感,无其他明显体表病变。还有一个现象是,不少猪死前喜欢在排泄区蜷窝,死后浑身沾满粪污,可能是死前发热。
慢性发病死亡的猪只生前炸毛,食欲差,轻微到严重腹式呼吸,顽固腹泻,消瘦,多衰竭而死。

死亡猪只体表状况
病死猪的剖检大体病变:
切开腹壁皮肤,最显著的病变是腹腔红色积液和肝脏的病变:
腹腔积血

肝脏大体病变
“肝破裂”
心脏的普遍变化是心肌出血、心包积液和偶见的“绒毛心”。

心脏大体病变
所有肺脏均有不同程度的病变:

肺脏大体病变
下颌、纵隔、支气管等颈胸部淋巴结肿大,充血:

淋巴结大体病变
极个别猪只可见回盲瓣米粒状白色溃疡:

统计剖检观察完整的10头猪大体病变,总结如下表:

对以上病变组织均进行了石蜡切片制作和苏木素伊红(HE)染色,苏木素可将核酸(细胞核)染成蓝色(嗜碱性),伊红可将蛋白质(细胞浆和细胞外基质)染成红色(嗜酸性)。
今天首先分享一下该病例肝脏的组织病理变化。
组织病理的形态学描述和诊断就是一种更细微的“找不同”游戏,所以了解正常器官组织的解剖、组织学特点和生理功能是读懂一张组织切片的基础。所以我们先了解一下肝脏正常的组织结构、血液循环和生理功能。
肝脏是哺乳动物体内最大的腺体以及新陈代谢的枢纽,具有分解、合成、转化、贮存营养物质、解毒、合成多种凝血因子、滤过血液(降解衰老红细胞)以及分泌胆汁促进脂肪分解和吸收等作用,在胚胎时期也是体内造血器官。
肝脏表面被覆一层富含弹性纤维的结缔组织被膜,结缔组织在肝门处随肝动脉(肝脏的营养血管,血液富含氧气和营养,来自于左心室出发的腹主动脉)、门静脉(肝脏的功能血管,收集胃、肠、脾、胰的血液,血液富含消化道吸收的营养物质、外源化合物等)、肝管(连接胆囊)的分支以及淋巴管和神经进入肝实质,将其分成若干个肝小叶(这是肝脏较其他器官的一个特殊之处,具有两套血液供应)。小叶之间的结缔组织称小叶间结缔组织。
猪和骆驼的小叶间结缔组织发达,所以其肝小叶轮廓清晰,肉眼可辨识;而牛、羊、马和禽类的不发达,肝小叶分界不明显。肝小叶之间由小叶间结缔组织分隔,相邻几个肝小叶之间的结缔组织内有小叶间动脉(肝动脉分支)、小叶间静脉(门静脉分支)和小叶间胆管(肝管分支)伴行的区域——门管区。小叶间动脉和小叶间静脉的血液在肝小叶血窦内汇合,与肝细胞进行充分的物质交换,最后汇流入中央静脉,后者汇合成小叶下静脉,最后汇集成肝静脉出肝,汇入后腔静脉,入右心房。(右心房富含营养和二氧化碳的血液入右心室,之后经肺动脉泵向肺脏进行气体交换,排出二氧化碳,装载氧气,后经肺静脉回到左心房,入左心室,此时富含氧气和营养的血液经主动脉、腹主动脉和肝动脉供应肝脏和全身组织。)

猪正常肝脏
肝小叶是肝脏的基本结构和功能单位,呈多面棱柱体,以中央静脉为中心,单层肝细胞构成的肝板与肝血窦呈放射状相间排列。

肝脏组织结构示意图

肝脏HE染色图片(鸡肝脏,手头没有正常猪肝脏切片)
接下来看肝脏的组织病理变化:

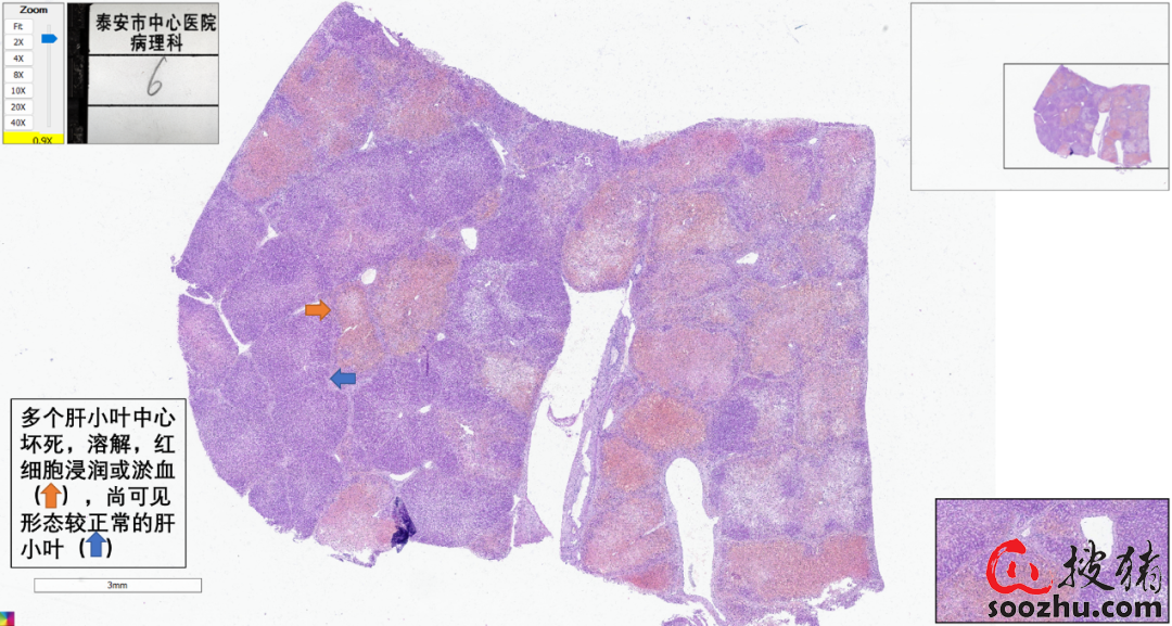
病变肝脏1组织病理变化



病变肝脏2组织病理变化
综上所述,肝脏大体和显微病变的形态学观察和描述,该病例中肝脏的形态学诊断为重度急性多灶至融合性出血坏死性肝炎(形态学诊断公式:严重程度+病程+分布+疾病进程+组织/器官+“炎”)。
由此可推断,腹腔积血的血液来自肝脏的渗出性或漏出性出血,而且肝细胞的大量坏死势必使多种凝血因子的合成减少,从而降低血液的凝血能力,利于出血的发生。此外,肝脏的严重急性或慢性功能不全,使大量本应该由肝脏代谢分解的毒性代谢产物在体内聚集,经血循环入脑,引起中枢神经系统功能障碍,从而引起急性发病时猪只表现出的意识障碍,四肢震颤等神经症状。该病理过程专业的名称“肝性脑病”。
针对该肝脏的特异病变,通过查阅相关兽医学文献资料,发现其特点与《兽医疾病病理学基础,第6版》记载的猪食因性肝病

食因性肝病(James F. Zachary. Pathologic Basis of Veterinary Disease. 6th Edition. Elsevier, Inc. 2017.)“食因性肝病(营养性肝坏死)是一种急性肝坏死综合征,发生在生长迅速的年轻猪。在多种失调症中都会出现这样的表现,但至少部分原因是由维生素E和/或硒缺乏引起的。食源性肝病的发病机制尚不完全清楚。虽然补充维生素E或硒对该病有明显的效果,但在实验条件下喂食缺乏维生素E和硒的日粮很难产生这种综合征。由于维生素E和含硒酶是自由基形成的拮抗剂,因此对维持细胞膜的稳定性和完整性至关重要,因此,氧化损伤被认为是导致肝细胞坏死的原因。
大面积坏死的肝脏区域最初膨大,呈深红色,质脆易碎。食因性肝病的特征是出血性小叶中央至大面积肝坏死。肝脏的外观反映了肝坏死的程度、出血的严重程度和病程的持续时间。随后,在急性期耐过动物中,肝脏出现明显的皱缩和纤维化。”
由此可见,该场持续的怪病可能和日粮维生素E和/或硒缺乏有关系,能够印证这一点的信息还有其他场的不同猪苗来源的猪群也出现这种腹腔积血和肝坏死症状(所在养殖小区共投产6个独立的分场),但死的猪比我负责的猪群少。
一定还有其他因素在本病例中发挥着主要或次要的作用,下篇我将从肺脏和淋巴结病变的组织病理出发,继续追踪可能的病因,敬请各位亲等待。

(审核编辑: 猪猪侠)





















